Detecting And Treating Cavities In General Dental Care

Cavities can sneak up on you. They develop when bacteria create acids that eat away at tooth enamel, eventually causing decay. Ignoring them might lead to discomfort or more serious dental issues. Regular check-ups and good hygiene habits are key to prevention. Dental professionals use various methods to detect cavities early. X-rays and visual exams help spot these troublesome spots. Treatment often involves removing decay and filling the cavity to restore tooth function. Routine care is more effective after treatment. Catching cavities early can save you pain and expense. If you’re seeking reliable dental care in Birmingham, MI, you have options to address and treat these concerns. You’ll find experienced providers ready to guide you through detection and treatment processes. They understand the importance of preserving your oral health. By taking early action, you help ensure a healthier smile, keeping cavities at bay and maintaining dental well-being.
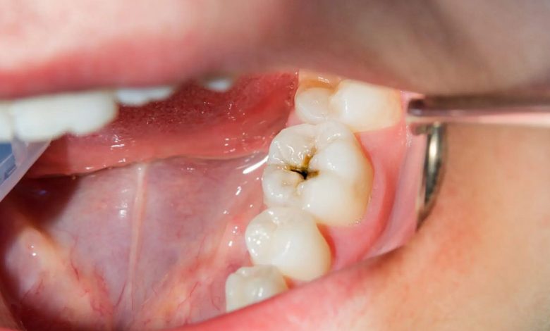
Understanding Cavities
Cavities, also known as dental caries, are a common dental problem. These small holes in teeth emerge from prolonged acid exposure. Sugary foods and drinks feed bacteria, which produce acids that damage enamel. Without prompt action, cavities can expand, causing pain and potential tooth loss.
Detection Methods
Detecting cavities early is essential in preventing more severe issues. Dentists employ several detection methods:
- Visual Examination: Dentists carefully inspect teeth for signs of decay.
- X-Rays: These images reveal decay between teeth and under the gum line.
- Laser Technology: Some dental offices use lasers to detect early decay.
Treatment Options
Once detected, treating cavities is straightforward if addressed promptly. Treatment methods include:
- Fluoride Treatment: Helps reverse early decay by strengthening enamel.
- Filling: Removes decay and fills the cavity to restore the tooth.
- Crown: Recommended for extensive decay and involves covering the tooth.
- Root Canal: Necessary if decay reaches the tooth pulp, removing infection and sealing the tooth.
Comparison of Treatment Options
| Treatment | Procedure | When to Use |
| Fluoride Treatment | Apply fluoride gel or varnish | Early stage of decay |
| Filling | Remove decay, fill cavity | Small to medium cavities |
| Crown | Place cap over tooth | Large cavities or cracked teeth |
| Root Canal | Remove infection, seal tooth | Decay reaching pulp |
Prevention Tips
You can prevent cavities with simple daily habits:
- Brush twice a day with fluoride toothpaste.
- Floss daily to remove plaque between teeth.
- Limit sugary snacks and drinks.
- Regular dental check-ups for professional cleanings and evaluations.
The Importance of Early Detection
Early detection not only reduces discomfort but can also prevent more invasive treatments. By addressing cavities early, you keep treatment costs lower and preserve tooth structure. This proactive approach is vital for maintaining overall oral health.
Finding the Right Dental Care
Choosing the right dental care provider is crucial for effective cavity prevention and treatment. Look for professionals who offer personalized attention and use the latest technology in dentistry. For instance, if you’re looking for resources, the American Dental Association provides valuable information about cavity prevention and care.
Conclusion
Cavities, while common, don’t have to disrupt your life. By understanding how they form, detecting them early, and pursuing timely treatment, you reduce their impact. Incorporating preventive measures into your routine supports lifelong oral health. In Birmingham, MI, accessible and skilled dental care ensures you stay on top of your dental health needs. For further guidance and support, visit trusted dental health resources and maintain regular dental visits. Your commitment to oral health today sets the stage for a healthier smile tomorrow.




